TOP

빠른상담신청

개인정보 수집동의

개인정보 수집동의

TOP

짝가슴유발하는 img

폴란드증후군

선천적으로 가슴 모양이 유난히 비대칭인 경우
폴란드증후군을 의심할 수 있습니다.

img

폴란드증후군이란?

선천적으로 한쪽 흉부에 발달 장애가 생기는 현상으로,
보통 양쪽 모두 나타나는 경우는 드물고 한쪽 유방에서만 보이는 것이 특징입니다.
발병률은 약 1만 명에서 10만 명 중 1명으로 추정됩니다.

폴란드증후군 원인

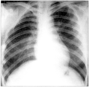
img <폴란드증후군 환자의 흉부엑스레이>
  • 01 환자의 대부분은 가족력이 없어 이유를 모르지만 매우 드물게
    부모와 자식에게 같은 증상이 나타나고 질환을 갖지 않은 부모에게
    태어난 형제들이 동시에 이 질환을 갖는 등 가족적인 패턴이 보고됨
  • 02 특정 동맥의 발달 장애 또는 다른 물리적인 요인들에 의해 발생하며,
    그 결과 초기 태아기 때 혈류 흐름에 장애가 생기거나
    혈류 공급이 줄어들어 손상을 받는다는 가설을 발표함

폴란드증후군 증상

  • img

    POINT 01

    대부분 작은가슴근(소흉근)이 없을 뿐만 아니라 큰가슴근(대흉근)의 흉골 부분이 없음

  • img

    POINT 02

    등 쪽의 큰 근육(광배근)과 같은 근육들이 한쪽만 없거나, 전거근(앞톱니근)이 없을 수 있음

  • img

    POINT 03

    유두 또는 유륜이 없거나 덜 발달하고, 겨드랑이에 털이 나지 않을 수 있음

  • img

    POINT 04

    여성의 경우 한쪽의 유방이 없거나 덜 발달되어 있고 유방 아래의 조직들도 발달되지 않을 수 있음

폴란드증후군 수술 방법

유방재건술과 마찬가지로 가슴에 조직확장기를 삽입하여 조직을 늘린 후 보형물을 삽입하는 방법으로 진행합니다.
(조직확장기의 삽입 없이 바로 보형물을 삽입할 수도 있습니다.)
  • img

    조직확장기 삽입 후
    2~3개월 동안 식염수를 넣어
    유방조직을 충분히 늘려줍니다.

  • img

    조직이 충분히 늘어나면
    조직확장기를 빼고
    보형물로 교체합니다.

  • img

    유방재건 후
    가슴이 정상적으로 형성되면
    유두와 유륜도 재건합니다.

폴란드증후군 수술 시에는 비대칭 가슴을 대칭으로 맞추는 것이 중요하기 때문에,
환자의 가슴상태를 정확하게 진단하고 반대쪽 가슴의 확대수술 혹은 거상수술을 함께하여 양쪽의 대칭까지 고려해야 합니다.

  • icon 전화상담

    02.542.0081 icon

  • icon 진료시간
    일 : AM 9:00 ~ PM 6:00
    토요일 : AM 9:00 ~ PM 4:00
    수요일 / 일요일 / 공휴일 휴진
  • icon 주소
    서울특별시 강남구 선릉로 814 엠디가슴성형센터빌딩 3-8층
    • icon
    • icon
    • icon
    • icon