TOP

빠른상담신청

개인정보 수집동의

개인정보 수집동의

TOP

내 생애 마지막

가슴재수술

아름답고 건강한 가슴을 되돌려 드립니다!

  • icon 수술시간

    1~2시간

  • icon 마취방법

    전신마취

  • icon 입원여부

    1일 (당일 퇴원 가능)

  • icon 실밥제거

    1주 후

  • icon 내원치료

    3~4회 (평생 AS)

  • icon 회복기간

    1주 내외

가슴재수술의 원인 img
모양과 촉감의 불만족!
img
자연스러운 모양, 부드러운 촉감을 결정 짓는 요인은 바로 피막 상태!
보형물을 삽입하면 우리 몸은 이를 이물질로 인식하여
몸을 보호하기 위해 가슴을 둘러싸는 얇은 보호막인 “피막”을 형성합니다.
이 피막이 변형되거나 두꺼워지면 모양과 촉감에 이상이 생길 수 있습니다.
  • 수술 후 정상적인 가슴

    img
    보형물에 맞게 얇고 균일하게 형성된 피막
  • 피막에 이상이 생긴 가슴

    img
    비정상적으로 두껍게 형성된 피막 매우 두껍고 울퉁불퉁해진 피막
피막의 변형으로 인한 부작용
img
보형물을 감싸고 있는 피막의 두께가 얇게 형성된 경우
자연스러운 물방울 라인부드러운 촉감 구현이 가능합니다.
가슴재수술 전 검사
  • 보형물 상태
    (파열/변형)
  • 피막 상태
    (두께/위치)
  • 피막 제거 여부
  • 부작용 현황
  • 유방암, 양성질환 진단
  • img

    혈액 검사

  • img

    심전도 검사

  • img

    흉부 엑스레이 촬영

  • img

    유방 정밀 촬영

  • img

    유방초음파 검사

유방외과 전문의 유우상 유방검진센터장은 가슴재수술 전 총 5가지 검사를 통해
가슴상태를 정밀하게 진단하고, 검사 결과에 따라 알맞은 방법으로 재수술을 시행합니다. ※ 검사의 종류는 환자의 상태에 따라 달라질 수 있습니다.
가슴재수술 img
  • Q1.

    가슴재수술, 적절한 시기는 언제인가요?

    수술 후 6개월~1년이 지난 뒤에 재수술하는 것이 좋습니다.
    가슴모양과 조직이 자리잡기 전에 섣불리 재수술을 하면 예기치 못한 부작용이 생길 수 있습니다.
    다만, 보형물 파열이나 구형구축 등 시간을 지체할 수 없는 경우에는 담당의와 상의하여 최대한 빨리 재수술을 진행해야 합니다.
  • Q2.

    재수술은 첫 수술보다 통증이 심한가요?

    가슴확대수술 시 보형물 삽입을 위해 가슴방을 늘려 주기 때문에 통증을 수반하게 되는데
    첫 수술에 이미 조직이 확장된 상태이므로 오히려 재수술 시 통증이 적은 편입니다.
  • Q3.

    첫 수술보다 재수술 회복기간이 더 긴가요?

    개인차가 큰 부분입니다.
    회복기간은 짧으면 3~4일, 길면 1~2주 정도로 첫 수술과 비슷하거나 조금 더 길어질 수 있습니다.
이상달 대표원장의 유방재수술 논문
img

2021

[논문] 가슴성형 구형구축률 비교: 라운드형 vs 물방울형
img

2015

[논문] 가슴성형 후 발생하는 구형구축 방지를 위한 AABS 유착방지용액과 섬유소 처리의 효과
img

2011

[논문] 유방확대술 후 코히시브 실리콘겔 유방보형물 파손
img

2009

[논문] 하이드로겔 유방보형물 파열 시의 임상적 소견
img

2004

[논문] 유방확대성형술 후 구형구축 발생시 피막 내 Triamcinolone 주사요법의 유용성
img

2004

[논문] 유방확대성형술 후 합병증 및 불만 요인 42예의 재수술 환자 분석
유형별 가슴재수술
01

구형구축

img
  • 정의
    • 가슴에 보형물을 삽입하면 몸 속에서 이를 이물질로 판단하여 피막을 형성하는데, 이 피막이 과도하게 생겨 딱딱해지는 부작용
  • 원인
    • 염증, 출혈로 인한 혈종, 이물질에 의한 오염, 수술 후 마사지 소홀(스무스형), 체질 등
  • 증상
    • 가슴이 단단해지고 모양이 변형됨
    • 감각이 소실되거나 통증이 유발됨
  • MD's Solution
    • 기존 보형물을 감싸고 있던 단단해진 피막과 보형물을 완전히 제거한 뒤 새로운 보형물로 교체하여 모양과 촉감 개선
  • Before img
  • After img

구형구축 단계

img

MD만의 구형구축 방지 특수솔루션

  • 01

    수술 중 진행되는
    특수 처치
    icon
  • 02

    완전 멸균 구역인
    수술실
    icon
  • 03

    대학병원급
    최신 의료기기
    icon
  • 04

    체계적인
    수술 후 관리
    icon
  • 05

    환자들이 지켜야
    할 수칙 제공
    icon
01

수술 중 진행되는 특수 처치

  • img

    구형구축 예방용 염증방지
    특수 항생제로 보형물 공간 세척

  • img

    피막 형성의 근본 원인인
    섬유아세포 형성 억제제 시술

  • img

    유착방지제 처리로
    가슴방이 좁아지는 것을 예방

  • img

    피막연화제 특수 처리로
    구형구축 예방

02

완전 멸균 구역인 수술실

  • icon

    엠디외과는 완전 멸균구역으로 설계된 독립된 수술센터가 있어서 감염 위험이 낮습니다.

  • icon

    오전 수술, 다음날 오후 퇴원이 원칙입니다. 환자의 안전을 위한 원칙일 뿐만 아니라 오후에는 자외선 살균등을 켜서 수술실 전체를 소독하기 위함입니다.

  • icon

    외부인 출입을 차단하는 지문인식 이중도어를 설치하여 외부인이나 외부물품의 출입을 금하고, 외부에서 들어오는 모든 물건은 철저한 소독을 거칩니다.

  • icon

    일부 대형병원에만 있는 건물 내 벤트시스템을 설치, 수술장 내의 미세먼지를 빨아들여 공기를 정화시킵니다.

  • icon

    수술 시 일반 수술용 장갑보다 2배 비싼 Powder Free Glove를 사용하여 미세한 이물질이 따라 들어가는 것을 방지합니다.

03

대학병원급 최신 의료기기

  • img

    최신 프리스타일 내시경을 이용하여
    불필요한 박리를 막고 출혈 최소화

  • img

    리가슈어 출혈 방지 장비로 정교한 수술 후 지혈하여
    잘못된 박리로 인해 발생하는 구형구축 예방

04

체계적인 수술 후 관리

  • step 01
  • step 02
  • step 03
  • step 04
  • step 05
img
  • 정상적인 피막 형성을
    돕기 위해 수술 후 1개월 간
    특수약제칵테일을
    피막 부위까지 침투시킴
  • icon
  • 스무스 보형물의 경우
    전문 관리실에서
    기계 관리와 함께
    마사지 교육을 해주며
    주기적으로 체크함
  • icon
  • 수술 후 3개월 간
    구형구축 예방약 복용
  • icon
  • 수술 후 1, 3, 6, 12개월 째
    집도의의 주기적인 체크를
    통해 구형구축 사전 방지
  • icon
  • 그럼에도 불구하고
    구형구축이 생겼다면
    재수술 시행
05

환자들이 지켜야 할 수칙

  • img

    수술 당일 반드시 샤워하기! 몸이 깨끗한 상태가 아니면 수술 시 이물질이 들어갈 수 있기 때문에,
    수술 전 깨끗이 씻고 와야 수술 후 감염을 최소화할 수 있습니다.

  • img

    구형구축 약 복용하기! 건강한 환자들에게는 정상적인 박테리아일지라도 수술 시에 감염이 될 수 있으므로,
    사전에 박테리아의 활성화를 막기 위해서 구형구축 약을 복용해야 합니다.

02

윗볼록

img
  • 원인
    • 가슴 밑선 박리가 불충분한 경우
    • 구형구축이 생긴 경우
    • 수술 후 관리 소홀로 보형물이 위로 올라가서 고정된 경우
  • 증상
    • 밥그릇을 엎어 놓은 모양처럼 가슴 윗부분이 볼록하게 튀어나와 부자연스러움
  • MD's Solution
    • 가슴방을 기존보다 넓혀주어 공간을 확보한 뒤 보형물 삽입
    • 기존 보형물을 감싸고 있던 단단해진 피막과 보형물을 완전히 제거한 뒤 새로운 보형물로 교체하여 모양과 촉감 개선
    • 스무스 보형물은 마사지를 꼭 해야 하며, 텍스처 보형물은 마사지가 필요 없으므로 재수술 후 이를 잘 지켜야 함,
      또한 와이어 브래지어를 착용하면 보형물이 위로 올라가 윗볼록 현상이 생길 수 있으므로 일정 기간 동안 착용해서는 안됨
  • Before img
  • After img
03

비대칭(짝가슴)

img
  • 원인
    • 보형물의 위치를 잘못 삽입하거나 삐뚤게 삽입한 경우
    • 선천적으로 비대칭인데 수술 전 측정을 잘못한 경우
  • 증상
    • 양쪽 가슴의 사이즈와 모양이 달라 미용적으로 예쁘지 않음
  • MD's Solution
    • 기존의 보형물을 제거한 후 양쪽 대칭을 맞출 수 있는 사이즈를 제대로 측정하여 삽입

선천적 가슴 비대칭

가슴비대칭(짝가슴)은 잘못된 수술에 의한 경우보다 선천적인 경우가 더 많습니다.
아주 미세한 비대칭의 경우 환자 본인이 인식하지 못하기 때문에 문제가 되지 않지만,
비대칭의 정도가 심하다면 보형물의 사이즈를 각각 다르게 넣어 대칭이 맞도록 교정할 수 있습니다.
  • img

    크기가 다름

  • img

    유두 높이가 다름

  • img

    유두 높이, 처짐 정도가 다름

  • img

    유두 높이, 처짐 정도, 유륜 크기가 다름

  • img

    척추 변형으로 인한 비대칭

img

수술 전 가슴 부위의 각 부분을 계측하여 양측의 비대칭 정도를
정확히 파악하고, 각 보형물의 형태와 크기를 달리하여
비대칭을 교정합니다.

  • Before img
  • After img
04

보형물 파열 및 교체

img
  • 원인
    • 구형구축이 생기면서 단단해진 피막이 지속적으로 보형물을 압박하는 경우
    • 아주 드물지만 시간이 흐르면서 저절로 파열이 된 경우
  • 증상
    • 파열이 되어도 겔이 흘러 내린다거나 통증이 유발되지 않고 가슴모양도 크게 변하지 않기 때문에
      자각증상으로는 파열 여부를 알기 어려우며, 정기적인 검진(초음파 검사)을 통해 발견되는 경우가 많음
  • MD's Solution
    • 파열된 보형물과 주변의 피막을 제거하여 깨끗한 가슴방을 만든 후 새로운 보형물로 교체함
    • 유륜 또는 밑선 절개를 해야 보형물을 완전히 제거할 수 있음

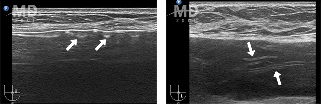
* 흰색 화살표 = 파열된 보형물

  • img MRI 촬영
  • img 초음파 검진
img

보형물 파열 시 뚜렷한 자각증상이 없기 때문에 30세부터는 2년마다,
40세부터는 1년마다 정기적인 유방검진이 필수입니다!

  • Before img
  • After img
05

더블라인(이중주름)

img
  • 원인
    • 유두에서 밑선까지의 거리가 짧은 경우 기존의 가슴 라인보다
      더 아래까지 박리를 해야 하는데, 밑선 처리를 제대로 하지 못했거나
      출산 후 가슴이 처지면서 나타날 수 있음
  • 증상
    • 가슴 아래 부분에 굴곡이 생겨 가슴 밑선의 라인이 이중으로 생김
  • MD's Solution
    • 더 큰 보형물을 넣어서 이중주름을 펴고, 밑선의 위치를 올려줌
    • 경우에 따라 유두를 위쪽으로 당겨주고 처진 가슴을 끌어올리는 유방거상술을 병행
  • Before img
  • After img
06

보형물 밑/옆빠짐

img
  • 정의
    • 윗볼록 현상과 반대로 보형물이 아래로 내려가거나 옆으로 쏠리는 현상
  • 원인
    • 밑가슴이 빈약할 때 지지조직이 부족하여 보형물이 무게를 견디지 못하고 밑으로 내려감
  • 증상
    • 가슴 밑선이 상당히 부자연스럽게 아래쪽으로 내려옴
  • MD's Solution
    • 보형물이 밑으로 내려간 만큼 그 부위의 피막을 제거하고 봉합하여 밑선이 올라가게 하면서,
      가슴 윗부분은 추가공간을 확보하기 위해 추가박리를 함
  • Before img
  • After img
가슴 하단을 과다박리하여 생긴 밑빠짐 현상
  • Before img
  • After img
가슴 중앙을 과다박리하여 생긴 옆빠짐 현상
07
보형물 제거 이유
img

[ MD에서 제거 수술한 환자들의 보형물과 피막 ]

MD의 보형물 제거 수술 과정

  • STEP 01.

    밑선 혹은 겨드랑이
    약 3.5cm 절개 후
    보형물(피막) 제거

  • STEP 02.

    당일 퇴원
    (피주머니 없음,
    다음날 출근 가능)

  • STEP 03.

    압박붕대 일주일
    (압박복 불필요)

보형물 제거 시

피막 제거 img img

꼭 해야 할까?

부작용에 의한 보형물 제거(교체) 시에는 피막을 전체 제거해야 합니다.
하지만 개인 불만족에 의한 보형물 단순 제거 시에는
피막을 제거하지 않거나 부분적으로만 제거할 수도 있습니다.

  • 부작용

    (구형구축, 보형물 파열,
    장액종, 석회화 등)

    icon
     피막 전체 제거 필수 

     

  • 보형물 교체

     

    icon
     피막 전체 제거 or
    피막 부분 제거 

    (초음파 검사 결과에 따라 결정)

  • 보형물 단순 제거

    (크기, 모양 불만족)

    icon
     피막 제거 불필요 

    (검사 결과에 따라
    피막 부분 제거 가능)

icon

 엠디는 무조건 피막 전체 제거를 권하지 않습니다! 

유방암의 경우에도 전절제, 부분절제 필요한 만큼만 절제하는 것처럼
엠디는 철저히 환자의 입장에서 생각합니다.

피막 제거 역시 마찬가지입니다.
재수술 시 피막 전체 제거를 기본 원칙으로 하되, 초음파 검사 결과에 따라
피막을 전체 제거했을 때와 부분 제거했을 때의 득실을 따져야 합니다.

무조건적으로 피막을 100% 제거하는 것이
결코 수술을 잘 하는 것도 아니며
환자의 안전을 위하는 길도 아닙니다.

엠디의 판단은 간단합니다!

  • 피막 제거 필요
    “100% 피막 제거”
  • 피막 제거 불필요
    “피막 부분 제거” 혹은 “피막 제거 하지 않음”
  • 피막 제거 불필요 하지만
    “환자가 원하면 100% 피막 제거 가능”
    (피막 제거 시 위험 요소가 있다면 사전에 안내 후 환자와 상의하여 결정)

피막 제거 수술 종류

종류 피막 전체 제거술
 100% 피막 제거 
피막 부분 제거술
제거된 피막 img img
제거 범위 제거하기 까다로운
밑쪽, 뒤쪽 피막까지 100% 제거
피막의 일부만 제거
수술 대상 구형구축, 보형물 파열, 장액종, 석회화 등
부작용이 있을 때 권장
별다른 부작용이 없는 상태에서
보형물을 단순 제거할 때 추천
특징 출혈, 혈종, 신경 손상 등의 부작용이 생길 수 있으므로
숙련된 전문의가 수술해야 됨
초음파 검사 결과에 따라 피막을 부분 제거만 해도
문제가 없는지 잘 판단해야 됨

# 피막을 제거하는 것이 무조건 좋은 것은 아닙니다!
피막을 제거하지 않고 놔뒀을 때 좋은 점도 있습니다!

보형물을 제거하면 가슴이 서서히 납작해지는데 피막의 존재로 인해
급작스러운 유착을 막을 수 있어서 모양을 갖춘 채로 납작해지는
긍정적인 역할도 합니다.
부작용에 의한 피막은 무조건 제거해야 하지만
얉고 건강하게 형성된 정상적인 피막은 제거하지 않아도 전혀 문제가 없습니다.

  • img

    보형물 제거 전

  • img

    보형물 제거 후 (피막 제거하지 않음)

  • icon

    피막은 내 몸에서 만든 섬유질이기 때문에 몸에 남아 있어도 해가 되지 않음

  • icon

    얇은 피막은 제거하지 않아도 서서히 수축하고 몸에 자연스럽게 흡수되어 약간의 흔적만 남기고 사라짐

  • icon

    피막이 역형성대세포림프종이라는 희귀암을 유발할 수 있다는 일부의 주장은 아주 희박한 확률임

  • icon

    오히려 불필요하게 피막을 제거할 경우 혈종, 통증, 유방 찌그러짐 등 더 큰 부작용을 초래할 수 있음

08

가슴필러, img img

꼭 제거해야 하는 이유
가슴에 주입된 필러는 무조건 제거해야 합니다.
식약처에서는 유방확대의 목적으로 어떤 종류의 필러도 허가해 준 적이 없기 때문입니다.
필러는 어떤 외피에 싸여져 있지 않은 채, 무작위로 가슴 내에 주사기를 통해서 주입되기 때문에
어디로 퍼질지 모르며 실제로 배, 사타구니까지 흘러내리는 경우도 있습니다.
  • img

    가슴 아래로 흘러내린 필러

  • img

    옆구리까지 흘러내린 필러

가슴필러 제거 수술 방법
  • img img
    01

    초음파 검사를 통해
    필러의 위치 파악

  • img
    02

    약 3~4cm 유륜 절개
    (필러가 퍼진 위치에 따라
    밑선이나 겨드랑이 절개도 가능)

  • img
    03

    뭉쳐져 있는 필러와
    유방조직에 붙어 있는 필러
    최대한 제거

MD 가슴필러 제거 특징

최대한 많은 양의 필러를 조직의 손상 없이 안전하게 제거합니다!
  • 단순 흡입술이 아닌
    절개를 통해
    제거하기 때문에
    최대한 많은 양의
    필러를 제거할 수 있음

  • 20년 이상
    경력을 바탕으로
    쌓은 노하우로
    유방조직과 혈관의
    손상 없이 안전한
    수술 가능

  • (선택 사항)
    필러 제거 후
    보형물을 삽입하는
    안전한 방법으로
    가슴확대술 추가 진행

“ 가슴필러, 100% 제거 가능할까? ”
img
100% 제거가 가능하다면 그건 거짓말!

유방조직을 손상시키지 않는 선에서
최대한 제거하는 것!

icon
초음파로 보면 큰 덩어리의 필러가 모여 있기 때문에 모두 제거하면 되지만
문제는 유방조직에 끈끈하게 붙어 있는 필러입니다.
이를 무리하게 긁어내면 본인의 정상 유방조직에 손상이 갈 수 있으므로
유방조직의 손상은 최소화 시키면서 필러를 최대한 제거할 수 있는
섬세한 기술
이 필요합니다.
  • 필러가 근육 위에 뭉쳐져 있는 상태
    img img

    <제거 수술 전>

  • 필러가 깨끗하게 제거 된 상태
    img

    <제거 수술 후>

가슴필러 img
  • Q1.

    가슴필러, 흡수되나요?

    흡수되지 않습니다.
    다만 필러가 체내에 들어가면 백혈구한테 잡아 먹히기 때문에 점점 용량이 줄어드는데, 일부 의사들은 이를 ‘흡수’라고 표현합니다.
    일반인들은 ‘흡수’라고 하면 시간이 지나면서 저절로 없어지는 걸로 생각하기 쉬운데, 실제로는 몸 안에 남아있는 경우가 많습니다.
  • Q2.

    얼굴에 주입하는 필러는 식약처 허가가 났지만, 가슴은 허가해 준 적이 없습니다.
    이렇게 위험한 가슴필러, 그럼에도 불구하고 시술하는 이유는?

    마취하고 절개하고 보형물을 삽입하는 수술에 비해 필러 주입은 간단하다고 생각하기 때문입니다.
    또한, 보형물이 파열되어 내용물이 새어 나오는 것은 심각하게 생각하면서, 애초에 외피가 없는 이물질을 여기 저기 집어 넣는 것에 대한 두려움이 없기 때문입니다.
  • Q3.

    필러보다 보형물이 더 안전한 이유는?

    요즘 사용하는 코히시브겔 보형물은 내용물이 외피에 둘러 싸여 있습니다. 보형물이 파열될 확률 자체도 낮지만 파열된다 하더라도 내용물은
    응집력이 높은 겔 상태이기 때문에 몸속으로 퍼지지 않습니다.
    또한, 필러는 안전성이 검증된 의료용 실리콘이 아닌, 식약처에서 허가하지 않은
    이물질이기 때문에 훨씬 위험합니다.
  • Q4.

    가슴필러 제거 후 보형물을 삽입해도 안전한가요?

    네 전혀 문제 없습니다. 보형물이 삽입될 가슴근육 주변의 필러를 깨끗이 제거하고 보형물을 삽입하면 됩니다.
    필러 제거 후 상실감에 시간이 지난 후 재수술을 하러 오는 분들이 많은데, 필러를 제거하면서 동시에 보형물 삽입 수술을 하면 돈과 시간을
    절약할 수 있습니다.
  • icon 전화상담

    02.542.0081 icon

  • icon 진료시간
    일 : AM 9:00 ~ PM 6:00
    토요일 : AM 9:00 ~ PM 4:00
    수요일 / 일요일 / 공휴일 휴진
  • icon 주소
    서울특별시 강남구 선릉로 814 엠디가슴성형센터빌딩 3-8층
    • icon
    • icon
    • icon
    • icon